Le bon usage des bains de bouche
Articles similaires
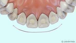
Contention de Hawley
Vidéos 3D
Traitement multi-attaches
Vidéos 3D
9 Chemin Des Primevères
73190
CHALLES LES EAUX
9 Chemin Des Primevères
73190
CHALLES LES EAUX
9 Chemin Des Primevères
73190
CHALLES LES EAUX
Vidéo en cours de lecture
